同一個值班週
同樣每天疲累的從下午四五點開始做一整天都沒機會開的局部麻醉手術到晚上十一、二點
開刀房委員會永遠不會要去解決一間局部麻醉手術室怎麼應付一天有三四十台的局部麻醉手術
只是睜一隻眼閉一隻眼的讓我們科的醫師
自願加班到半夜
每一天都在思考怎麼堵院長跟他好好談一談我們可憐的一天是怎麼度過
....
急診室還是在晚上八九點打電話來通知又有個八十二歲的腹主動脈瘤肚子痛的病人在急診室
需要我們無論如何有個人過去評估一下是否需要緊急手術
病人很老超過八十歲很瘦卻精神很好
只是抱怨一直有腰背痛的問題
有C型肝炎一直在消化科追蹤
十幾年前曾經開過膽結石將膽囊移除
今天因為疼痛加劇據家屬說還痛到將下午的點心都吐出來了
跑來急診室急診室醫師摸了一下肚子馬上摸到病人瘦弱的肚子上像球一般的腹主動脈瘤
其實他已經在內科治療高血壓一邊追蹤這顆腹主動脈瘤好多年了
從 四公分 多到今年年初有5.1公分
內科醫師也建議家屬帶來外科這裡評估是否要開刀或者做主動脈支架
卻因為年紀太大而拖延至今
馬上安排了一個新的電腦斷層檢查
在左邊腎靜脈下面有個約5.7公分的腫瘤
不到半年就脹大了0.6公分
符合健保腹主動脈支架的給付標準
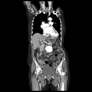
以冠狀切面來看
這個主動脈瘤局部脹大很厲害頸動脈的頸部扭了一個很大的角度
幾乎是個髮夾彎
而且因為電腦斷層每5毫米做的一個切面
剛好沒有切出來右腎動脈從腹主動脈分支出來的地方
對主動脈支架的手術的術前計畫來說有一定的難度
我們通知了不需要做腎動脈上固定的主動脈支架廠商來評估是否有機會做主動脈支架
因為病人沒有特殊的不舒服只是抱怨一樣腰背痛吐過一次後已經沒有想吐了
電腦斷層看不出來有其他特別狀況也沒有主動脈瘤要破裂的徵兆
我們做了一些止痛措施就讓病人住院準備隔天做主動脈手術
手術前我一樣跟家屬說明主動脈支架與傳統手術的優缺點
隔天等到傍晚才輪到這個可憐的阿婆開刀
下午就接到專科護理師跟我報告說家屬很多人跟病人討論後決定採用傳統手術
一次開刀拿掉腹主動脈瘤
不希望作沒有百分之百保握的主動脈支架
擔心之後的電腦斷層檢查會讓病人岌岌可危的腎臟功能出現問題
我個人對傳統手術跟腹主動脈支架沒什麼愛好
只要有保握可以剖腹之後夾住主動脈頸部
就沒有什麼出血的疑慮
反正頂多是三個小時左右的刀
雖然如果在這個病例使用胸主動脈直型支架放在這個不會太長的扭曲腹主動脈瘤這個位置
似乎是個可行的辦法
如果主動脈支架主體可以通過髮夾灣的幾乎180度轉彎有些狹窄的夾角
可能有機會秒殺這台刀
另一方面卻也擔心可能在腹主動脈瘤頸的嚴重彎曲
會造成嚴重的第一型內漏endoleak
然後就可能必須往上增加一兩個延伸支架袖口stent cuff
便有可能會犧牲可能從正上方跑出來的右腎動脈
.....
我個人一直相信傳統手術對困難腹主動脈瘤頸的病人腎動脈與腎功能保存有正向的意義
病人及家屬都聽清楚開刀與支架的優缺點做好決定
我就沒有再進一步鼓吹病人選用腹主動脈支架方案
我們從晚上八點多開始手術
估計可以在12點以前完成
手術前總醫師還說會不會主動脈瘤因為嚴重鈣化讓我們不好縫合
我回答說
嚴重鈣化就找軟一點的地方進針
不然就是剝掉一點鈣化
讓我們可以運針就可以了
" 我沒有遇過縫不起來的主動脈瘤血管"
我跟他這麼說
.......
我開了一個上腹部的正中切口
大約只有10公分長
我想只要之前膽囊炎手術不沾黏
我可以很快地夾住腹主動脈將主動脈切開縫上一段直型人工血管
應該很快就可以完成了
阿婆很瘦整個腹腔只有肝臟下面有些沾黏
肝臟有輕微硬化的現象
後腹腔很容易就打開了
小心順著髮夾灣嚴重彎曲的主動脈壁
還是可以分離出足夠長的主動脈瘤頸
然後試夾瘤頸確定主動脈瘤沒有再繼續搏動
就可以打開主動脈瘤了
末端的腹主動脈我打算使用尿管打起水球來先遮住不讓它流血影響視野
後來發現兩邊的髂骨動脈很容易分離出來就改成使用血管夾來控制出血
一切過程直到切開主動脈瘤準備開始縫合人工血管之前都很容易
等到我開始用習慣的4-0 prolene 線
縫合近端接口才知道大事不妙
整個主動脈一整圈好像鐵管一樣
我試著找軟一點的主動脈壁上面下針
完全找不到
先是主動脈瘤後壁的腰椎動脈鈣化的開口每一個都讓我縫了超過四五針才止血成功
再來是近端吻合口根本就是縫不動的鐵管鉛管
我開始作主動脈壁鈣化內膜的切除然後將針線小心謹慎的從比厚紙張粗不了多少的病態主動脈壁上來回下針
好不容易縫完一圈
覺得縫得很不安心
我又用墊好鐵氟龍墊片的ticron 縫線再重新縫了一圈
然後放開主動脈夾
再用幾針仔細地加強有些滲漏的小出血點
然後就聽到麻醉科的監測機器警告聲大響
開始麻醉小姐緊張地不理開刀醫師的口頭指揮打電話狂找值班麻醉醫師
血壓只剩下50出頭
....
這就是晚上開刀的無奈
心臟外科一線的麻醉資深護士輕鬆地麻完一台心臟常規手術下班了
晚上就剩下一些沒什麼類似麻醉經驗的年輕護士負責麻醉
而值班的麻醉科醫師卻一下子要到產房幫忙麻醉產婦
一下子要處理一般外科大腸外科小兒外科整形外科等等這些把小夜班當作白班
把晚上的開刀房當作lounge bar 的瘋狂外科醫師
我將主動脈夾夾回去
等她們終於定下心來開始處理我的口頭醫囑
然後才再放開夾子開始再度小心檢查近端接口有無小滲漏出血直到滿意為止
做遠端的接口就難了
病人的小腸才開刀不到一個小時就腫脹成原本的一倍
使用好幾塊大的紗布墊以及拜託兩個住院醫師痛苦萬分地幫忙拉鉤才
勉強可以找到空間做末端接口的吻合
縫合的地方一樣充滿鈣化
可是比起近端主動脈瘤頸撕開鈣化內膜就只剩下好像快縫不住的薄薄的主動脈壁
遠端的主動脈壁因為留下夠長的一段比較容易找到可以避開鈣化處下針縫合的地方
由於我知道等縫好血管一放開主動脈夾
遠端的接口後壁縫線將會非常難以止血
我在主動脈後壁與人工血管的縫合使用雙排連續縫線
務必使縫合完後沒有一絲後悔才行
然後再小心翼翼地縫好整圈縫線放開血管夾
血壓又向剛剛一樣掉到谷底
這次麻醉小姐比較迅速地快速給藥拉高血壓
困難地是出在手術視野這裡
自從放開血管夾後吻合點出血很厲害
首先檢查到末端吻合口沒有出血反而是在鈣化的腸骨動脈上發現嚴重出血
我推測是我做兩邊的腸骨動脈血管夾控制兩邊回流性出血時
將動脈內膜夾碎了
現在髂骨動脈應該是一種類似血管剝離衝破動脈外膜的出血
只能將出血點兩邊還算柔軟的血管壁縫過來想辦法蓋住出血點
我縫了好幾針就無法成功止血
趕緊通知支架廠商再來開刀房預備
萬一出血沒辦法靠縫合解決
還是要用腹主動脈支架來幫忙止血完成
.................................................................
就在支架廠商氣喘吁吁地再度推著一大堆衛材與各種救命支架
來開刀房裡面待命的時候
我終於縫好恐怖的髂骨動脈剝離出血
還可以摸到那一側的股動脈搏動
應該沒有因為要讓髂骨動脈止血將它縫死了
出血還是很嚴重我檢查到出血的第二個地方是
主動脈瘤後壁的腰椎動脈
原本還沒接好遠端接口時椎動脈乖乖的沒有出血
一接完血管
逆行血流一衝
原本檢查沒有出血的腰椎動脈又開始持續出血
這在腹主動脈瘤手術其實很常見
也不是很難處理
我請助手幫我費力地扳開人工血管
讓我看清楚幾個腰椎動脈出血點
結果因為嚴重動脈壁鈣化
又縫了幾乎有七八針
才達到可以忍受的小小出血程度
.........................................................
儘管我在動脈瘤的地方拼命止血
病人的血壓在麻醉科兩三個人拼命輸血的情況下還是只有七八十
手術地方還是湧出大量鮮血
我檢查到第三個出血的地方是原本一開始萬分確定沒有出血才開始縫合
遠端接口的近端接口
竟然也開始出血了
好像為了縫合腰椎動脈扳動人工血管時
扯到了這個縫合處
幾個原本做完動脈鈣化內膜剝除的主動脈壁與人工血管吻合處又開始出血了
我又滿頭大汗地用了四五針才又讓這些嚴重出血停止
等一會兒
必須從頭到尾把剛剛有出血的地方
在檢查過一遍才會安心關閉傷口
................................
這時候
麻醉科已經輸了超過兩千毫升的血了
還不包括我們從紅血球回收機回收回去的血液
病人的體溫來到恐怖的30.5C
創下我們開腹主動脈瘤手術的最低體溫的紀錄
病人的心電圖呈現恐怖的寬波
以及不知到怎麼形容的心率不整
麻醉科開始亂槍打鳥
一下子用digoxin, 一下子又amio, 一下子又給lidocaine
然後又因為血壓下降給bosmin
我有預感只要我再繼續開刀下去
光是這樣的低體溫心臟亂跳就可以讓病人心臟驟停了
我將不知什麼原因腫脹不堪為了不擋住手術視野翻出傷口外面的的小腸
與部分大腸放回腹腔中
然後打算開始用溫水不斷地澆灌已經變得一片冰涼的腸子上
希望可以讓病人升溫一點
我的整個下半身手術衣無菌衣內衣內褲被病人身上的腹水全部浸濕
整個手術台下的地板上淹滿了清清如水的大量腹水
幾乎有一整個臉盆倒在地上那麼多
我開始有很不好的預感
這個病人的肝功能
恐怕是在肝硬化等級的B級以上
這會嚴重影響病人的術後恢復
我感覺自己捅了馬蜂窩
現在我要做damage control 才有機會將病人送進加護病房了
...............................................
意想不到的事情再度出現
我塞回病人的小腸大腸時
發現病人的末端闌尾有個五公分大小的腫塊
被腸繫膜包住
看好像是以前作一般外科總醫師時候開刀遇過無數次的闌尾腫瘤( carcinoid )
或者慢性闌尾膿瘍
我決定要當場將它拿掉做組織化驗
才試著用電燒準備分離腫塊與腸繫膜
一堆融化cheese 般的膿液就流出來了
可惡是闌尾膿瘍appendiceal abscess 不是腫瘤
病人一定因為慢性腹痛超過一個禮拜以為是腹主動脈瘤痛
結果急性闌尾炎發作的時候沒被發現出來
忍了一個禮拜
也沒發燒也沒右下腹痛
只有嘔吐過一次
我突然間好像又回到七八年前
將急性闌尾炎破裂腹膜炎休克的患者當作感染性腹主動脈瘤破裂
送進開刀房開刀的糗樣場景
我們這次還有做3D重組的主動脈電腦斷層檢查哩
是很難看得出來還是我們的眼睛被眼屎糊住了
$%^&*()_
拿掉闌尾清除膿包局部消毒
將大網膜拿一陀來包覆這個區域都在十幾分鐘內做完
我打算快速的檢查有無主動脈接口附近的出血
將主動脈壁縫合起來避免人工血管暴露
然後留下還沒關閉的後腹膜擺好引流管
準備快速pad out 塞一堆紗布幫忙後腹腔止血
趕緊離開這個讓病人繼續失溫的地方
先回加護病房烤燈及溫毯強力回溫後
等1-2 天腸子消腫後再進開刀房將塞在後腹腔的紗布移除
後腹膜關起來
.................................................................................................
病人術後的那一天晚上我們輸了幾乎有20-30袋的新鮮血漿
維持病人足夠的血管內容積
不准許病人出現致死性的肝腎症候群hepatorenal syndrome
紅血球因為在開刀房中已經無限暢飲
來到了血紅素超過16的地步因為沒有繼續出血整晚沒有再往下降
病人的小便在我們值班醫師努力達成使命的整晚沒睡的處理下一直都有出來
終於在術後第三天再度回到開刀房關閉傷口
當初嚴重腫脹出水的小腸在白蛋白與利尿劑的治療兩天後
已經消腫許多可以輕鬆塞進腹腔關閉好傷口了
...................................................................................................
我回過頭來看電腦斷層
原來被拉到右上腹部的氣液介面不是肝轉折的大腸
而是因為膽囊開過刀沾黏往上拉的闌尾膿瘍
用2D橫切面更清楚了
注意右側腎臟與十二指腸出來後馬上就有一包膿瘍一般的東西
仔細看跟旁邊的升結腸橫結腸降結腸看起來是不一樣的
最後才看到回腸進入升結腸的地方
怎麼會以為闌尾被沾黏往上拉得那麼高呢????
.........................................................................................................................
所以同一個禮拜
我們遇到了第二個腹主動脈瘤肚子痛將盲腸炎當作是腹主動脈瘤破裂
的病人
我才將說
恐怕我會擔心自己的眼光都被腹主動脈瘤吸引
沒有找找其他異常
連我自己都會誤診
就被我說中了
唉...........................
( 我另一方面在想, 如果病人及家屬選擇腹主動脈支架, 然後開完刀
病人一樣不顯著的模糊腹痛, 因為看樣子不會進展成廣泛性腹膜炎
那會是怎麼樣的一個術後恢復過程???????太震撼了!!!!!)


















































